W dzisiejszym zabieganym świecie, dbanie o zdrowie jamy ustnej stało się priorytetem dla wielu osób. Jednak dla niektórych dorosłych wizyta u stomatologa może być stresującym doświadczeniem. Na szczęście istnieje skuteczne rozwiązanie - sedacja wziewna.
Czytaj więcejKomfortowe Leczenie
Gabinet Architektura Uśmiechu to nowoczesna placówka zlokalizowana w centrum Kielc, świadcząca usługi w zakresie ortodoncji, protetyki, chirurgii stomatologicznej oraz stomatologii zachowawczej. Celem naszej pracy jest spełnianie marzeń pacjentów o pięknym i zdrowym uśmiechu. Wykwalifikowany zespół, z specjalistą ortodoncji Magdaleną Rudnik na czele, stale podnosi swoje kwalifikacje i stosuje nowoczesne metody leczenia.
W swojej pracy kładziemy nacisk nie tylko na kwestie leczenia ortodontycznego, ale także na profilaktykę jamy ustnej. Staramy się motywować i instruować naszych Pacjentów, tak aby zachowali zęby w zdrowiu i naturalnym pięknie przez długie lata.
Leczenie ortodontyczne dorosłych
Leczenie ortodontyczne dzieci
Profilaktyka i higienizacja
Stomatologia zachowawcza
Leczenie kanałowe
Chirurgia stomatologiczna
Stomatologia dziecięca
Protetyka stomatologiczna
Protetyka
Specjalistyczne leczenie protetyczne
Leczenie wczesne
Leczenie ortodontyczne dzieci na wczesnym etapie rozwoju wady zgryzu ma istotny wpływ na dalszy kierunek wzrostu. Szybka korekta istniejącego zaburzenia zgryzu w wielu przypadkach zapobiega rozwinięciu się poważnej wady.
Licówki kompozytowe
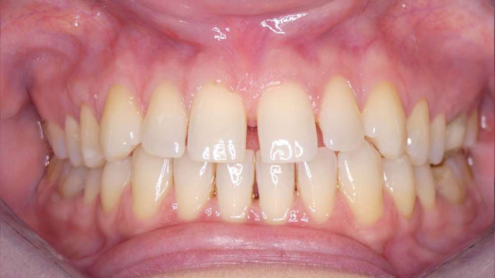
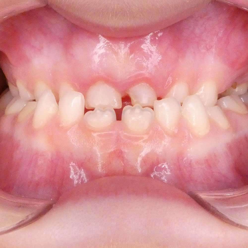
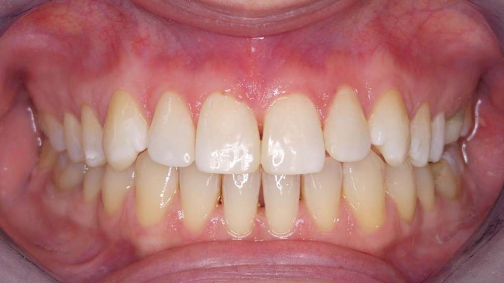
Diastema czyli przestrzeń pomiędzy górnymi siekaczami może być spowodowana zaburzeniem wielkości zębów. W takim przypadku jej zamknięcie ortodontyczne nie jest możliwe. Optymalny efekt estetyczny uzyskujemy przez odbudowę protetyczną zębów. Prezentujemy efekty leczenia z zastosowaniem licówek kompozytowych (bonding) wykonanych przez dr Agnieszkę Siutę.
Wybielanie zębów BlancOne Click dedykowane Pacjentom, którym zależy na szybkim i rozsądnym cenowo rozjaśnieniu koloru zębów.
Czytaj więcejUsunięcie zęba stałego, inaczej ekstrakcja zęba jest to zabieg wykonywany w gabinecie stomatologicznym przez chirurga stomatologicznego. Przyczyny ekstrakcji zębów to między innymi: stany zapalne, zaawansowane choroby przyzębia, złamanie zęba, wyczerpanie innych możliwości leczenia zachowawczego zęba lub wskazania ortodontyczne.
Czytaj więcejBonding, inaczej nazywamy licówką kompozytową, jest to metoda odbudowy zęba za pomocą cienkiej warstwy kompozytu. Kompozyt to inaczej materiał z którego wykonywane są wypełnienia zębów. Jest to nieinwazyjna metoda leczenia, to znaczy, że nie wymaga szlifowania zębów. Bonding pozwala na zmianę kształtu i długości zęba. Możliwe jest dostosowanie koloru bondingu do koloru zębów Pacjenta lub wykonanie licówki w jaśniejszym odcieniu. Bonding można wykonać na jednej wizycie. Jest to zabieg odwracalny - możliwa jest jego zmiana lub całkowite zdjęcie z powierzchni zęba.
Czytaj więcejul. Prezydenta Lecha Kaczyńskiego 7/U2B
25-309 Kielce
Rejestracja telefoniczna dostępna od poniedziałku do piątku w godzinach od 8:00 do 16:00
Poza godzinami pracy rejestracji, prosimy o wiadomości SMS.
Telefon: +48 535 886 005
Email: [email protected]
Cennik
| Ortodoncja | |
|---|---|
| Konsultacja specjalisty | 250 zł |
| Aparat stały metalowy | 2500 zł |
| Aparat stały estetyczny | 4500 zł |
| Aparat stały samoligaturujący | 3500 zł |
| Aparat stały samoligaturujący estetyczny | 5500 zł |
| Kontrola aparatu stałego | 300 zł |
| Aparat wyjmowany | od 900zł |
| Kontrola aparatu wyjmowanego | 200 zł |
| Dowiedz się więcej... | |
| Stomatologia Zachowawcza | |
|---|---|
| Wypełnienie kompozytowe - w zależności od rozległości ubytku | 300 - 500 zł |
| Licówka kompozytowa (bonding) | od 600 zł |
| Wypełnienie w zębie stałym glassjonomerowe | 250 zł |
| Podbudowa wypełnienia wkładem koronowo - korzeniowym (bez odbudowy) | 500 zł |
| Leczenie kanałowe zęba (bez odbudowy, w zależności od liczby kanałów) | od 800 zł |
| Znieczulenie | bezpłatnie |
| Dowiedz się więcej... | |
| Profilaktyka | |
|---|---|
| Lakierowanie | 150 zł |
| Higienizacja pełna (skaling, piaskowanie, fluoryzacja, instruktaż) | 400 zł |
| Wybielanie zębów metodą nakładkową (domowe) | 1200 zł |
| Wybielanie zębów metodą PREVDENT | 1800 zł |
| Higienizacja z wybielaniem bankietowym | 600 zł |
| Stomatologia Dziecięca | |
|---|---|
| Wizyta adaptacyjna | 150 zł |
| Wypełnienie w zębie mlecznym | 200 - 250 zł |
| Lak szczelinowy | 150 zł |
| Protetyka Stomatologiczna | |
|---|---|
| Korona pełnoceramiczna | od 2000 zł |
| Licówka ceramiczna | od 2000 zł |
| Korona tymczasowa | 250 zł |
| Proteza akrylowa | od 2000 zł |
| Proteza szkieletowa | od 2500 zł |
| Konsultacja specjalisty | 200 zł |
| Dowiedz się więcej... | |
| Chirurgia Stomatologiczna | |
|---|---|
| Konsultacja chirurgiczna | 200 zł |
| Usunięcie zęba stałego | 300 - 600 zł |
| Usunięcie zęba mlecznego | od 300 zł |
| Usunięcie zęba zatrzymanego | 800 - 1000 zł |
| Odsłonięcie zęba zatrzymanego | od 1000 zł |
| Nacięcie ropnia | 300 zł |
| Plastyka połączenia ustno - zatokowego | od 500 zł |
| Podcięcie wędzidełka języka lub wargi górnej | od 400 zł |
| Germektomia - usunięcie zawiązków zęba | od 800 zł |









