Czym jest bonding?
Licówki kompozytowe nazywane również popularnie bondingiem są sposobem na szybką i estetyczną metamorfozę uśmiechu. Zabieg ten jest nieinwazyjny, wymaga jedynie niewielkiego zmatowienia szkliwa innymi słowy nie wymaga szlifowania zębów niezbędnych w klasycznej protetyce. Zabieg ten daje nam możliwość na zmianę kształtu, koloru i długości zęba. Co istotne bonding można wykonać na jednej wizycie, a efekt końcowy możemy modyfikować.
W jakim celu wykonujemy bonding?
- wspomagająco dla leczenia ortodontycznego
- nadbudowy startych, uszkodzonych zębów
- poprawa koloru i kształtu zębów
- niewielkie korekcje rotacji, diastemy wychyleń zębów bez leczenia ortodontycznego
- przebudowy zgryzu przed wykonaniem ostatecznych odbudów protetycznych - licówek ceramicznych lub koron
- wyrównanie przebarwień zębów leczonych kanałowo
- poprawienie estetyki zębów z licznymi wypełnieniami w strefach estetycznych
Diagnostykakonsultacja protetyczna
Lekarz omawia z Pacjentem zakres i możliwości odbudowy. Wykonywana jest dokumentacja medyczna potrzebna do dalszych etapów leczenia. Diagnostyka składa się ze zdjęć zewnątrz i wewnątrzustnyc, skanów na modele diagnostyczne oraz w razie potrzeby rentgenodiagnostyki.
Plan leczeniaCyfrowe projektowanie uśmiechu
Lekarz, aby lepiej poznać oczekiwania Pacjenta, wykonuje wizualizację odbudowy. Na tym etapie podejmowana jest ostateczna decyzja o zakresie planowanego zabiegu.
Bondingwykonanie licówek kompozytowych
W większości przypadków jest to jedna wizyta, której długość zależy od ilości odbudowywanych zębów. Powinniśmy się przygotować na około 2-3 godzinną wizytę.
Kontrolawizyta kontrolna
Bezpłatna kontrola, na której możliwe są jeszcze korekty wykoanej pracy. Umawiana w ciagu około 2 tygodni po wykonaniu bondingu.


Diastema czyli przestrzeń pomiędzy górnymi siekaczami może być spowodowana zaburzeniem wielkości zębów. Optymalny efekt estetyczny uzyskujemy przez bonding zębów.


Przedstawiamy efekty zespołowej pracy ortodonty i protetyka. Pacjent leczony niewidocznymi nakładkami ortodontycznymi Once Aligner przez 6 miesięcy. Zęby wybielono metodą gabinetową PrevDent a następnie ich kształt poprawiony zabiegiem bondingu.


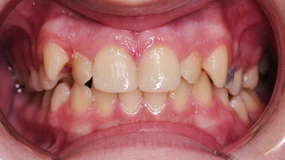
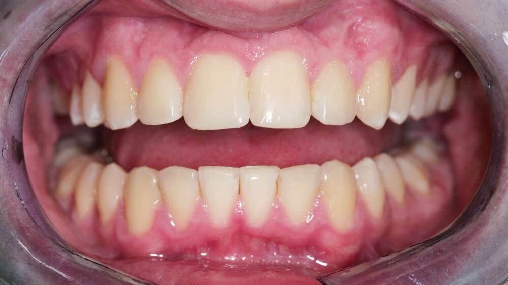
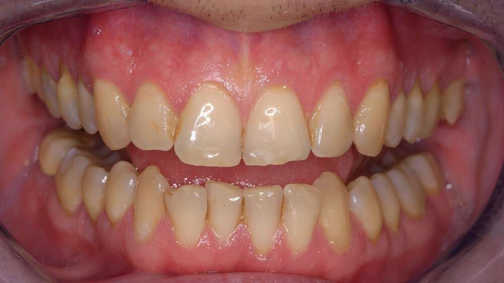
Odbudowa startych patologicznie zębów 11 i 21 przed leczeniem ortodontycznym, celem błyskawicznej poprawy estetyki uśmiechu.


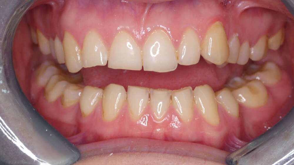
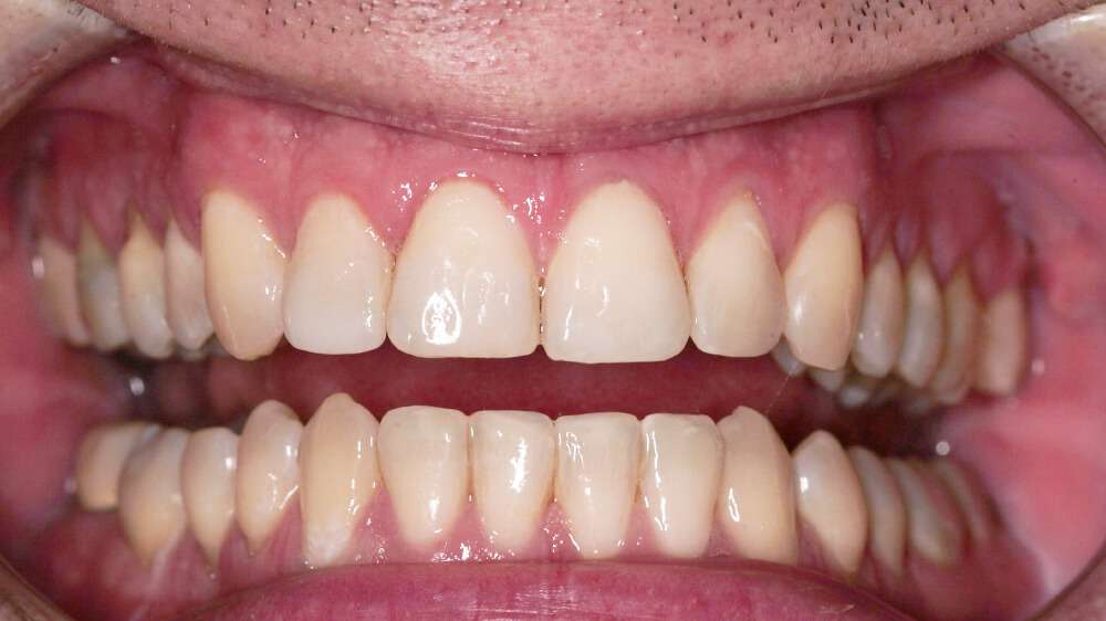
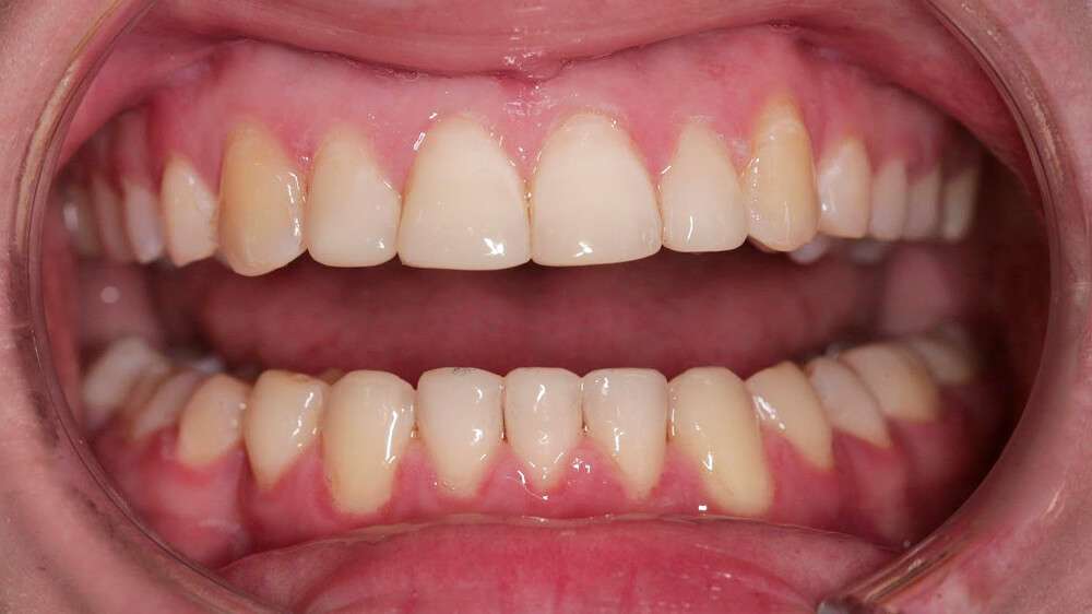
Pacjent leczony ortodontycznie aparatami stałymi, odbudowa startych zębów po zakończeniu leczenia ortodontycznego.


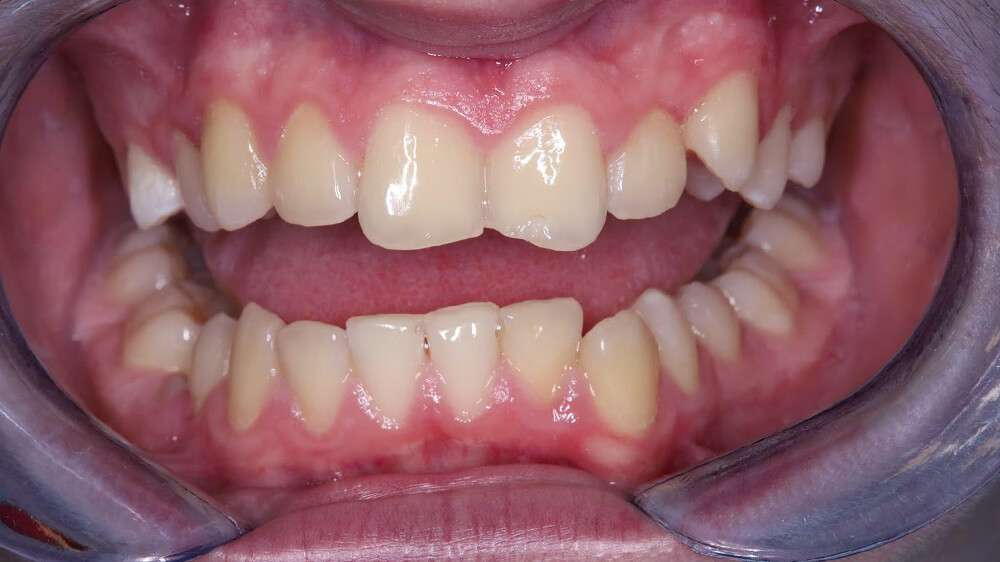
Pacjent leczony ortodontycznie z zastosowaniem aparatów stałych, odbudowy startych zębów w łuku górnym i w łuku dolnym po zakończeniu leczenia ortodontycznego.


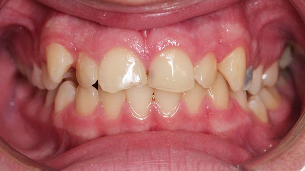
Odbudowa startych zębów siecznych centralnych szczeki w trakcie leczenia ortodontycznego celem poprawy estetyki uśmiechu na czas leczenia ortodontycznego.


Pacjent leczony aparatami nakładkowymi ONCE w obu łukach zębowych, po leczeniu ortodontycznym zęby wybielono metodą PrevDent i wykonano Bonding zębów siecznych w łuku górnym i w łuku dolnym