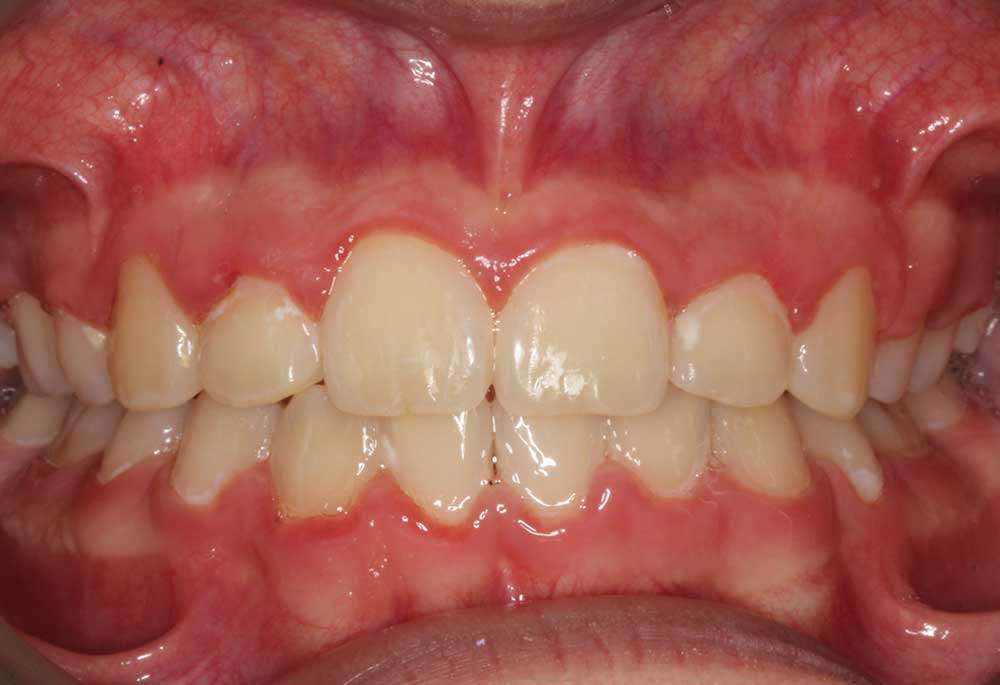
Leczenie młodzieży ze względu na trwający proces wzrostu umożliwia korektę wad, które u pacjentów dorosłych wymagałyby leczenia kompensacyjnego z zastosowaniem ekstrakcji lub skojarzonego ortodontyczno-chirurgicznego. W tym okresie leczenie ortodontyczne nie tylko koryguje wadę zgryzu ale również poprawia estetykę uśmiechu i wpływa na samoocenę.
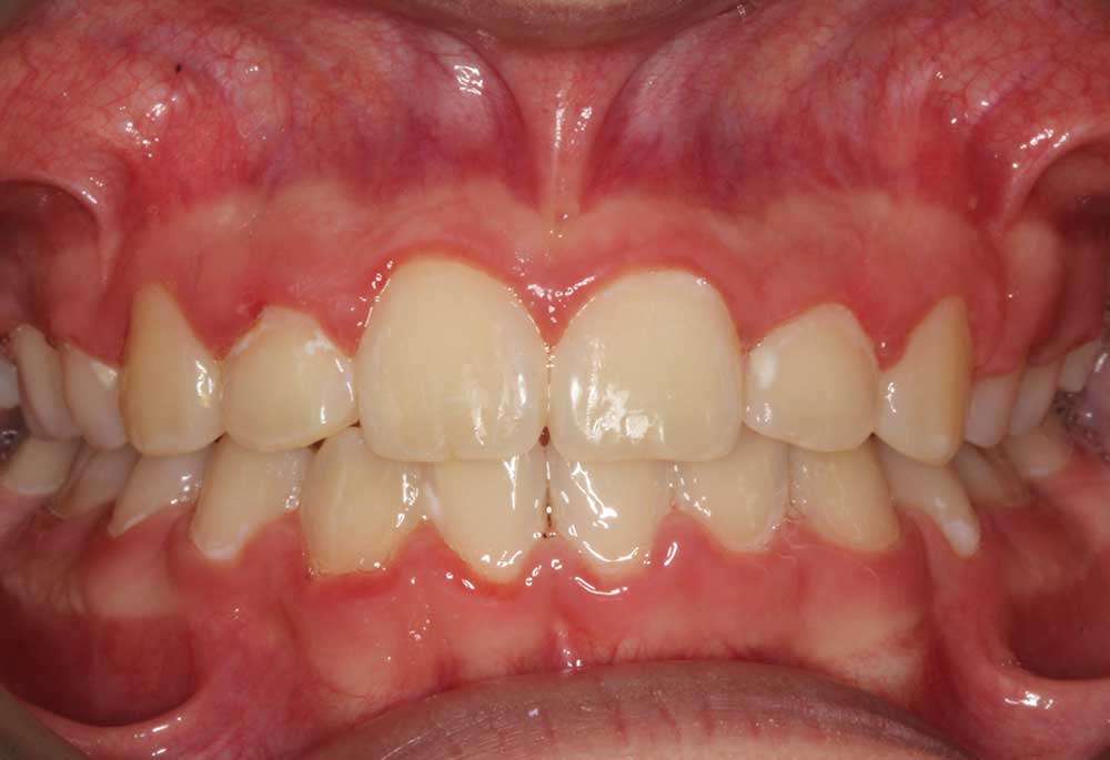
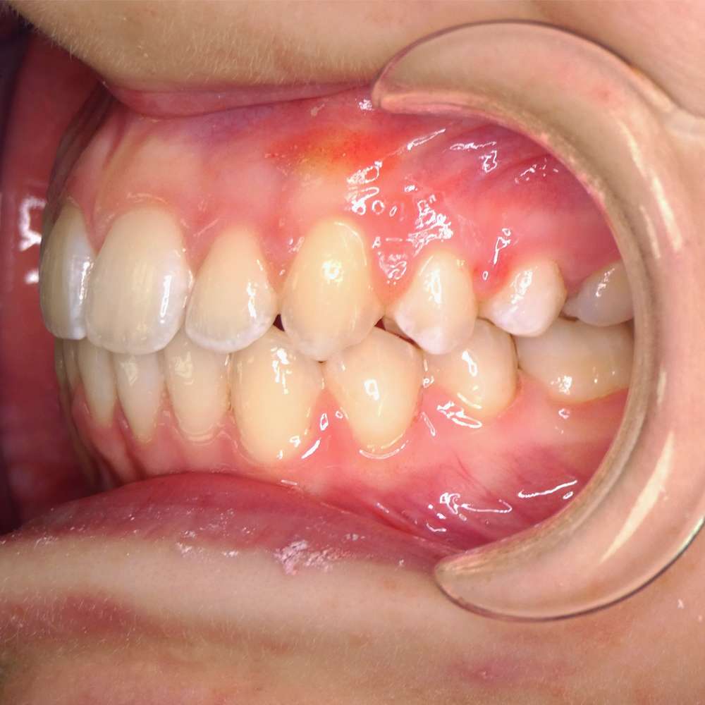
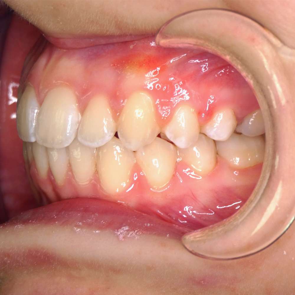
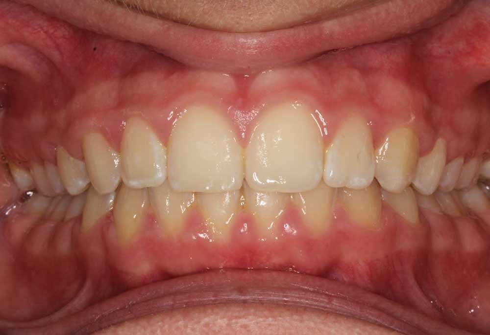
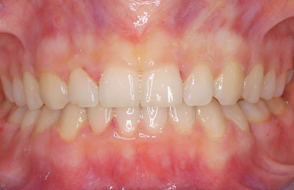
Stłoczenia są najczęstszą przyczyną zgłaszania się pacjentów na leczenie ortodontyczne. Lecząc pacjenta musimy pamiętać aby piękny uśmiech współistniał z prawidłową okluzją oraz zdrowym przyzębiem.
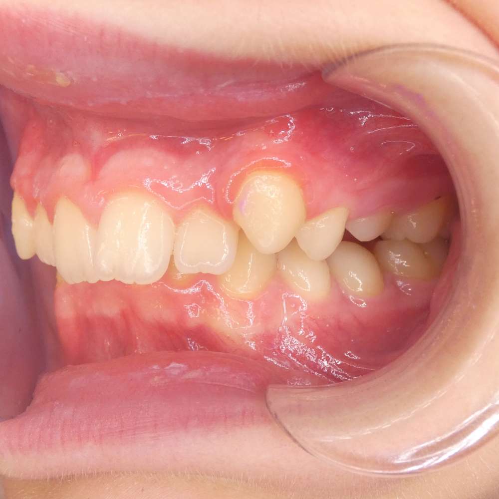
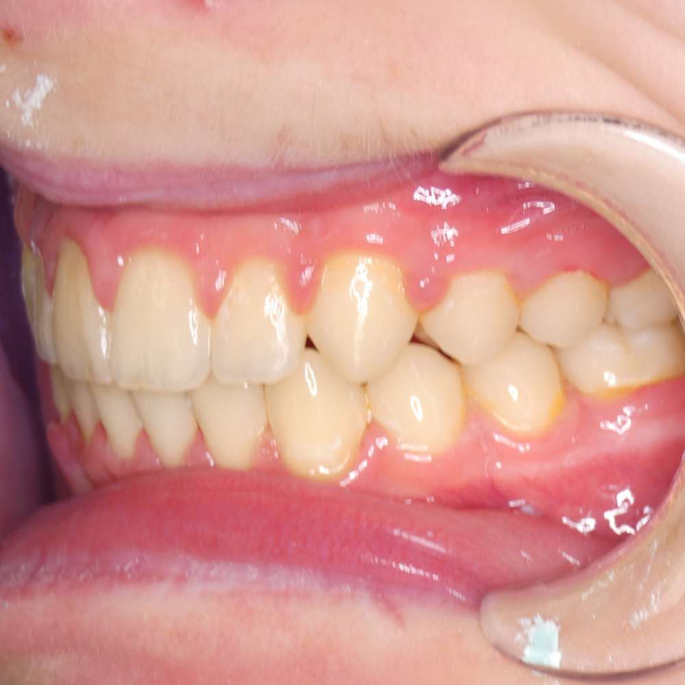
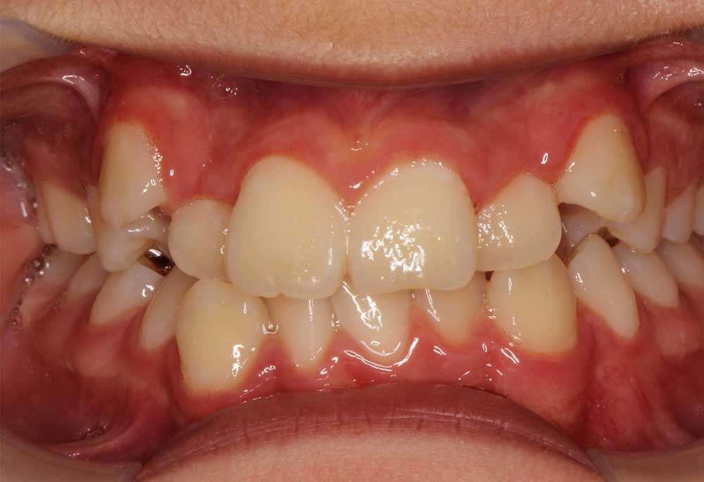
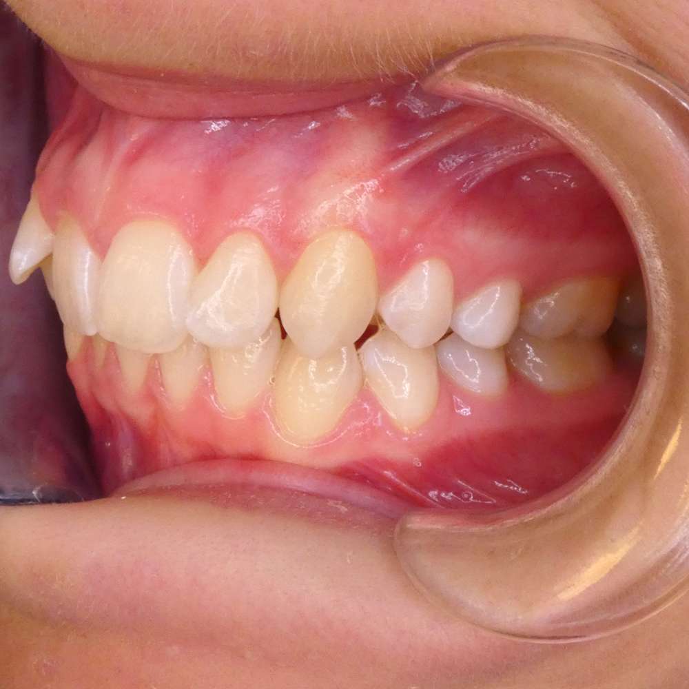
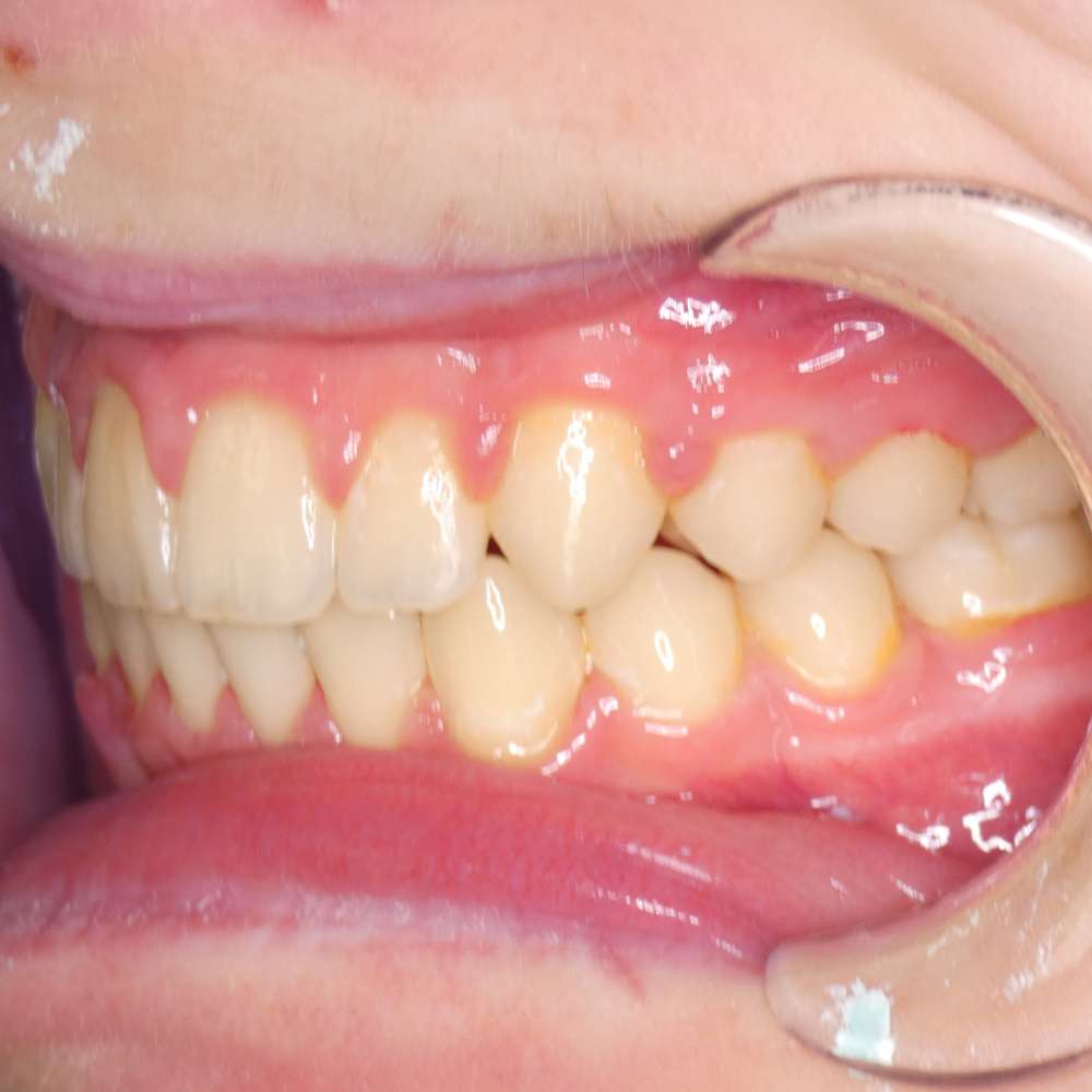
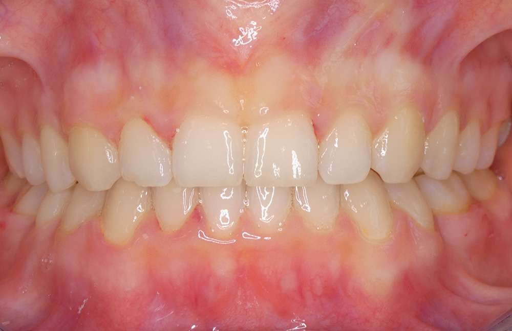
Stłoczenia powodują zaburzenie estetyki uśmiechu. Są to między innymi wychylenia i rotacje zębów. Pacjent leczony aparatami stałymi w obu łukach zębowych.
Leczenie ortodontyczne dzieci i młodzieży w okresie wzrostu pozwala na uzyskanie efektów niemożliwych do osiągnięcia w wieku dorosłym metodami jedynie ortodontycznymi.
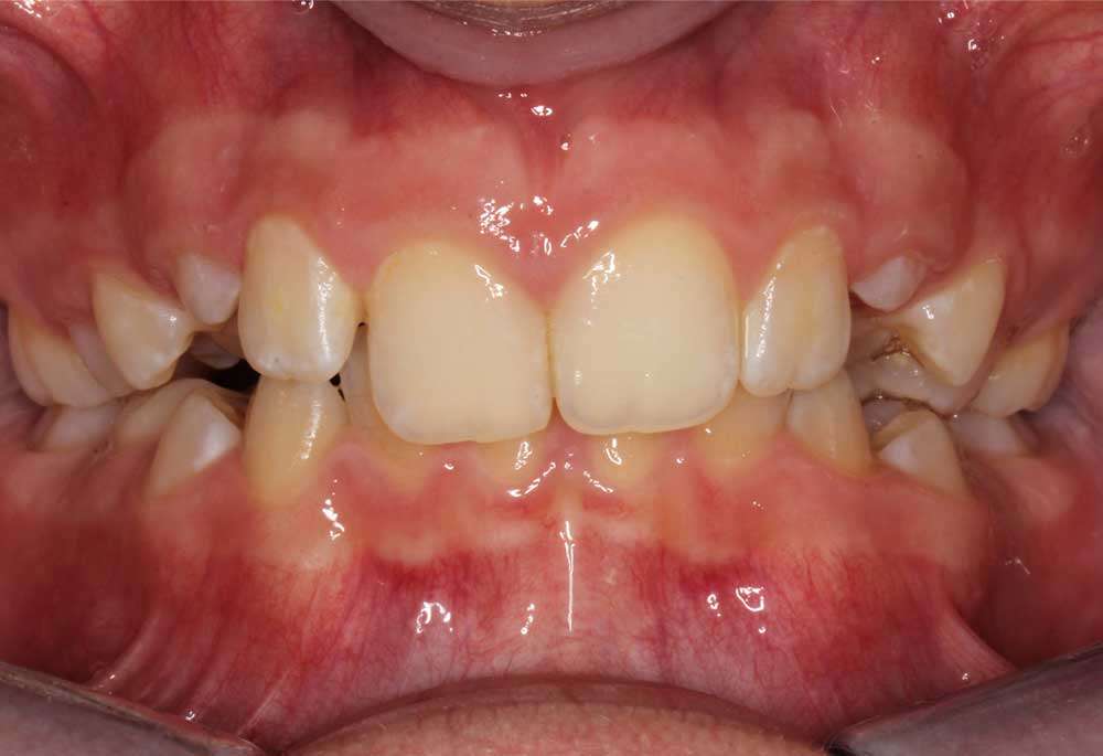
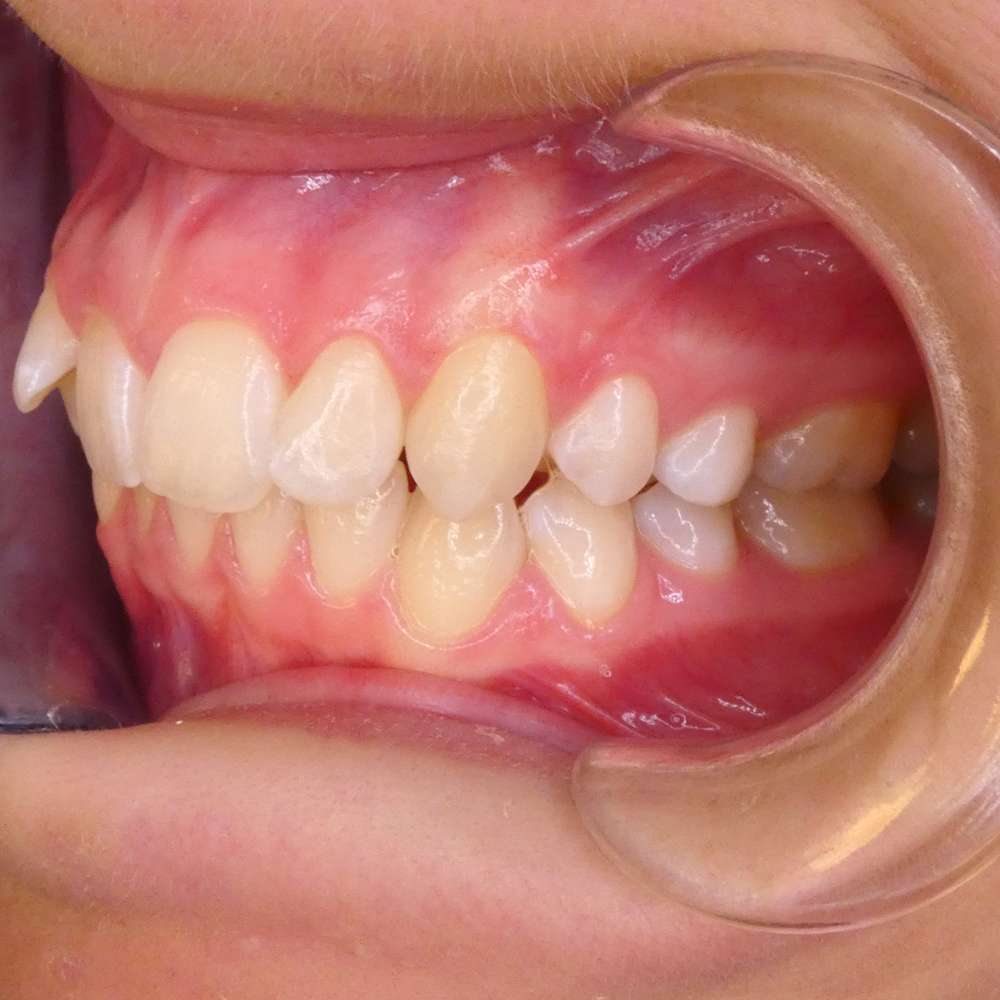
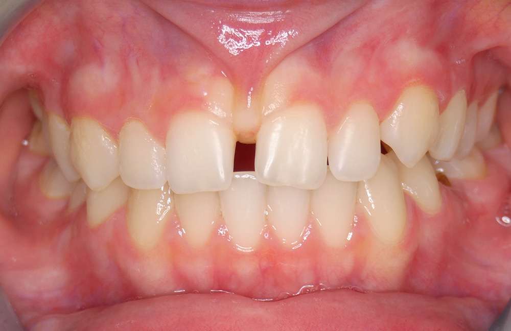
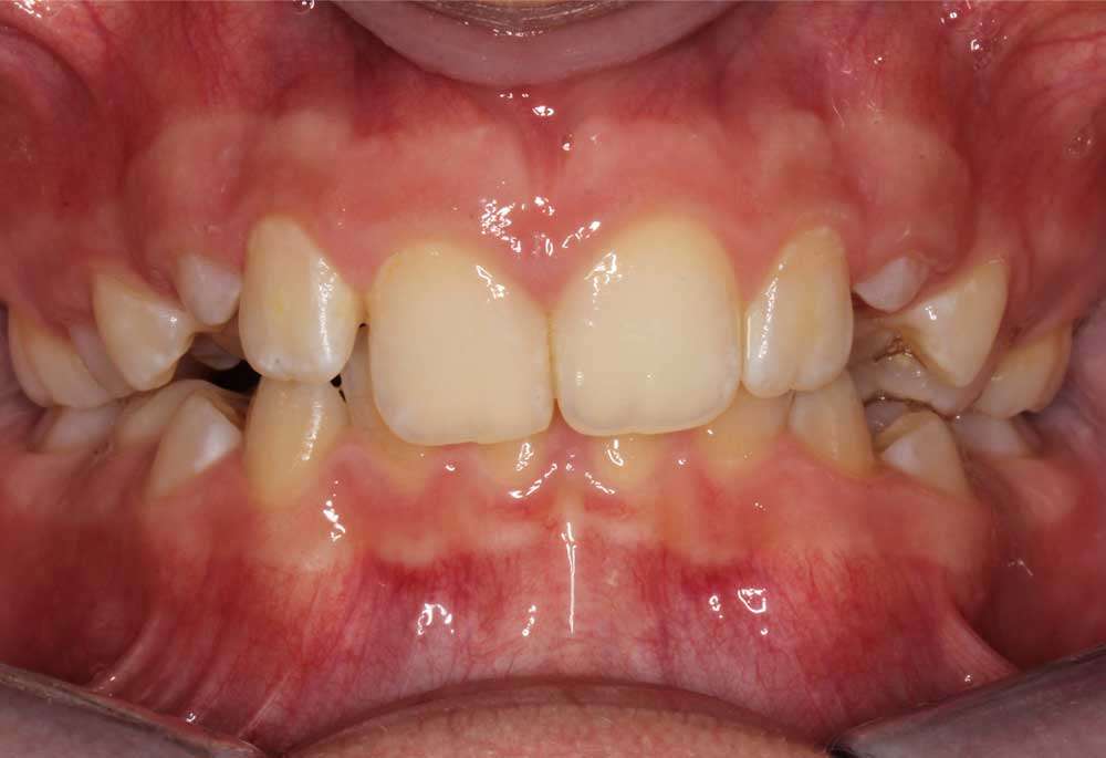
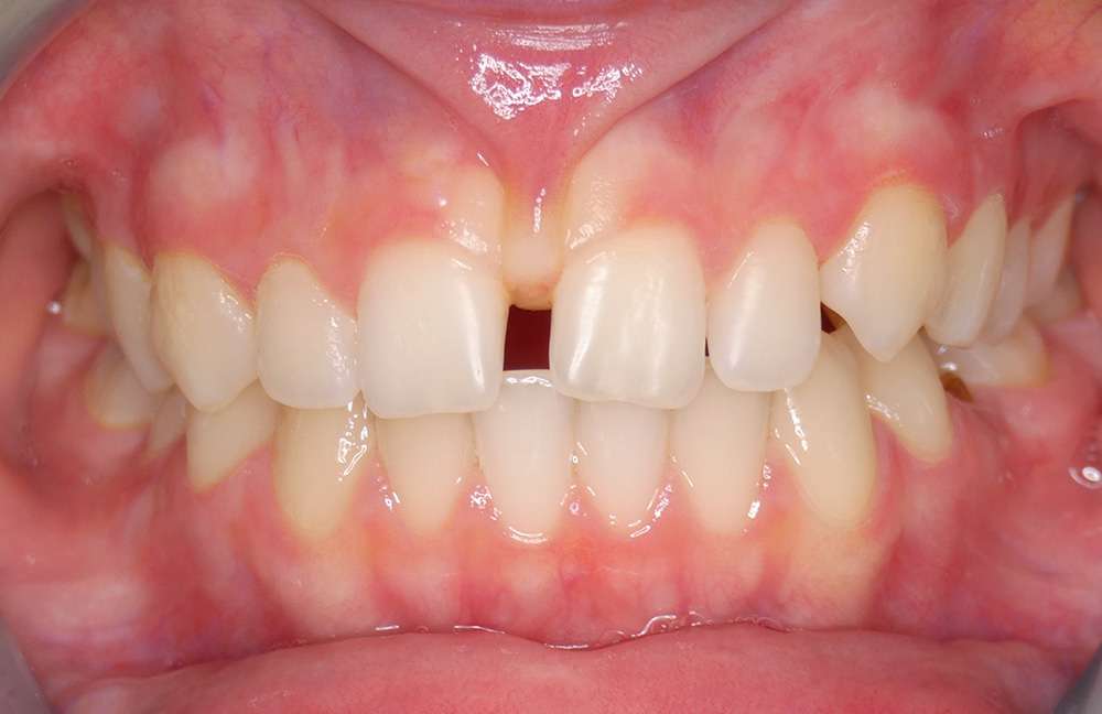
Pacjent z diastemą prawdziwą spowodowaną przerostem wędzidełka wargi górnej, leczony aparatem stałym przez lek. dent. specjalistę ortodoncji Magdalenę Rudnik.
Leczenie ortodontyczne dzieci na wczesnym etapie rozwoju wady zgryzu ma istotny wpływ na dalszy kierunek wzrostu. Szybka korekta istniejącego zaburzenia zgryzu w wielu przypadkach zapobiega rozwinięciu się poważnej wady.

